1.5 yıldır astım tedavisi görüyordu gerçek bambaşka çıktı: Uzun süre kendini belli etmeyebilir!


Diyarbakır’da diş tedavisi sonrası 50 yaşındaki hastada başlayan nefes darlığı ve öksürük şikayetlerinin altındaki neden, yuttuğu silikon çıktı. 1,5 yıldır astım teşhisi konulup tedavi alan hastanın, silikonun çıkartılmasıyla şikayetleri ortadan kalktı.

50 yaşındaki İ.U., 2023 yılının Ekim ayında diş çekiminden sonra implant ölçüsüne gitti. İ.U., ölçü için uygulanan silikonu farkında olmadan yuttu. Bir süre sonra nefes darlığı ve öksürük şikayetleriyle hastaneye giden İ.U.’ya astım tanısı konuldu.
GÜNÜN EN ÖNEMLİ MANŞETLERİ İÇİN TIKLAYIN

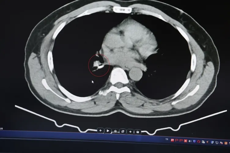
1,5 yıldır astım tanısından sonra tedaviler almaya başlayan İ.U., Prof. Dr. Abdurrahman Şenyiğit’in yanına geldiğinde yapılan tetkiklerde gerçek bambaşka çıktı. Yapılan tomografi ve bronskokopi işlemlerinde akciğere yerleşen maddenin yutulan silikon olduğu belirlendi. Silikonun çıkartılmasıyla hastanın tarifine göre şikayetlerinin ortadan kalktığı belirtildi.

Dicle Üniversitesi Tıp Fakültesi Göğüs Hastalıkları Öğretim Üyesi Prof. Dr. Abdurrahman Şenyiğit, İHA muhabirine, hastanın diş çekiminden sonra implant tedavisine gittiğini, implant tedavisinde kullanılan silikonlu diş ölçüm maddesi olduğunu ve hastada bu maddenin kullanıldığını söyledi.

Hastanın, maddenin akciğere kaçtığını hissedebildiğini fakat fark edilmediğini ifade eden Prof. Şenyiğit, o maddenin akciğerde kaldığını dile getirdi.
Haber Kaynak : SABAH.COM.TR
“Yayınlanan tüm haber ve diğer içerikler ile ilgili olarak yasal bildirimlerinizi bize iletişim sayfası üzerinden iletiniz. En kısa süre içerisinde bildirimlerinize geri dönüş sağlanılacaktır.”